TRANG CHỦ
#NEWS
Nóng trên MXH
Tin tiêu điểm
#SHOWBIZ
Celebrity
Nhật ký showbiz
#BEAUTORY
Chăm da họa mặt
Độ dáng
Tóc
Thời trang
Beauty by season
#LIFESTYLE
Sống đẹp sống nhàn
Ăn sung uống sướng
Du lịch và khám phá
Trà chiều cùng 2 Đẹp
Trang trí nhà cửa
Tâm sự
#GIẢI TRÍ
Âm nhạc
Phim
Nghệ thuật
#PODCAST
Interview
Video
#2ĐẸP CHOICES
2Đẹp pick
Best beauty buy
#Tai nạn thường gặp trong gia đình
Lệ Nguyễn
Bé gái 11 tuổi trúng độc vì mẹ dùng thuốc sâu diệt chấy cho con
Thanh Lê
Bé trai 9 tháng tuổi tử vong vì đắp lá chữa bỏng nước sôi
Thanh Lê
Xông hơi và những điều nhất định phải tránh
Thục Quyên
TP.HCM: Bé gái 7 tuổi bị kẹt lưỡi trong bình nước uống
Thục Quyên
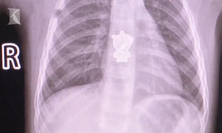
Bé gái ho ra máu vì nuốt phải hình dán heo Peppa
Thanh Lê
Hà Nội: Bé 12 tháng bị bỏng nặng vì bát mì tôm đổ vào mặt
Thanh Lê
Ninh Bình: Bé 6 tuổi nhập viện cấp cứu vì ngộ độc cây kim tiền
Thu Trần
Quảng Ninh: Bé trai 6 tuổi bị que xiên thịt nướng đâm thủng cánh tay
Thu Trần
TP.HCM: Bé trai 3 tuổi bị viên sỏi trong hồ cá chặn ngang thực quản
1
Recommend
Nhi Nguyen
Săn iPhone 17 giá rẻ: Bí mật đằng sau combo cùng AirPods 4